Drilling guide
Sizes : 6 / 7.5 / 9 / 10.5 / 12mm
Working part length : 7,5mm
Working part diameter : 2mm
Presentation

Don't change anything with your current procedure. MD Guide offers you a mesio-distal guidance when placing implants. Each of the 5 drills features a cylinder with a diameter that matches the mesio-distal dimension of the tooth you have to replace.
When placing this cylinder against the adjacent tooth (Fig.1), you are sure that your implant will be perfectly positioned. MDGuide avoids having to make a surgical guide.
If you have to place several implants, place one of the 5 analogs (non-drilling guide) in the first orifice made as previously explaned. (Fig. 2). This analog will simulate the presence of the future prosthetic tooth and can be used to create the next hole with another MD Guide. If necessary, continue the steps to even make a full arch !
2 in 1
Pilot drill & surgical guide in one
eliminate the stress and the frustation of misplacing your implant


Dr Plan & Dr Siadous (France)
Dr Monin (France)
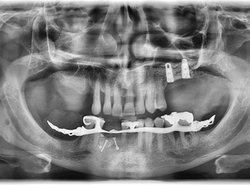
Pr Bouchard & Dr Pallier (Paris - France)








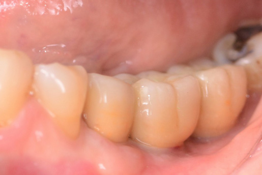
Cas clinique du Dr Jean Richelme (Nice - France)
Pose d'un bridge sur implant









Cas clinique du Dr Stéphane Plan (Aix en Provence - France)









It seems as if the MD Guide cylinder may make it hard to visualize the positioning of the drill tip, is this the case?
Because of the presence of the cylinder, the MD Guide is somewhat more cumbersome than a conventional pilot drill in this regard, however, when using the MD Guide the goal is not to visualize the position of the drill because it might induce a chance to make a parallaxes error. The goal is to be physically guided by a reliable abutment, which when using the MD Guide is an adjacent tooth or restoration. Finding comfortable visual access should not be a problem in general, but may require some slight adjustments from what you have done in the past.
For all simple cases, I can manage freehand, I don't need it...
Ok, but are you really infallible? Don't you have days with, and days without? Are you 100% protected from all kinds of distraction? Would you drive a car that is not insured? With no seat belt? No power steering? No ABS? More than 70% accident happen near your home, on the most familiar roads, where you usually feel secure...
Your patients deserve you use all the means to guaranty their safety and to get an optimum placement of their implants. MD Guide insures this to you at a negligible cost (less than 1% of the total cost of the implant). Add the time saving and the money saving due to the fact that you save surgical guides, we can consider that instead of costing you something, MD Guide will allow you to save money since the first use.
Beside this, non drilling guides will allow you to visualize immediately your future restoration.
Final point, MD Guide allows transforming complex cases into simple cases (ie: bridges on posterior area) which will avoid making time and money consuming surgical guides.
So why keep wasting time and money? Why not work more securely?
I use cone beam or similar 3D imaging, so why would I need MD Guide?
This type of technology allows you to achieve several things, including pre-operatory analysis and the ability to make a surgical guide. The surgical guide is single use, custom made, not sterile and doesn't allow any real irrigation of the drilling tip. In most cases, MD Guide can be an excellent alternative to a conventional surgical guide. MD Guide is autoclavable, reusable and doesn't require any impression. It also allows you to visualize your final restoration.
I always use a surgical guide, why would I change or need this?
We agree that a surgical guide is great standard to follow or use. However, statistics clearly show that 95% of implants are positioned without any guide. Practitioners consider surgical guides to be time consuming, expensive and not always useful, and therefore, are just not always used from a practical perspective. The MD Guide is a practical alternative to fabricating a conventional surgical guide that is not time consuming or expensive.
Does the cylinder prevent the drilling tip from getting proper irrigation?
The 10.5mm and larger guides can effectively be an obstacle to the irrigation, however, when using conventional external irrigation, the amount of water reaching the drilling tip is really negligible once the drilling tip has perforated the bone. The helix is designed to extract the material, not to introduce anything into the hole. So the cooling effect of this irrigation solution is insignificant. Internal irrigation on drills smaller than 2mm is no more efficient as the internal canal gets frequently obstructed. Additionally, when using a conventional surgical guide, the guide may constitute a real obstacle to the irrigation so the water can hardly reach the drilling tip.
The MD Guide is only a pilot drill. The bone in contact with MD Guide will be immediately removed by your usual drills used to adapt the hole to the size of the chosen implant. The MD Guide is used 4 to 6 seconds only in most cases. The small amount of heat generated during the perforation is mostly absorbed by the cylindrical mass of the guide that is an excellent thermal conductor. The elevation of the temperature at the drilling tip is then extremely reduced.
Is the MD Guide autoclavable?
Yes, all the components are fully autoclavable, including the drills as well as the non-drilling guides and the box.
How many times can I use each drill?
Each drill will allow you to place at least 40 to 60 implants, depending on the hardness of the bone you will drill in. So an intro kit containing 5 drills should allow you to place 200 to 300 implants.
The MD Guide is Expensive, will I get my Return on Investment?
The MD Guide is a slightly more expensive than a conventional pilot drill, however, considering that each drill will allow you to place between 40 and 60 implants, the cost of the drill is around 1% of the total cost of the implant. If you use MD Guide, you will not need your conventional pilot drill anymore. The additional cost (a few cents only per implant) is easily compensated by the time saving, the surgical guide saving, the accuracy and security. A better alignment of your implant with the abutment will also induce savings in abutment supplies.
How choose the appropriate size of guide?
The instruction for use includes a diagram you can use to determine the appropriate guide. Nevertheless, this diagram is only providing examples. Your choice should be determined with a preoperatory analyze of antoagonist and adjacent teeth and a dentscann.
What speed should we use MD Guide?
1200 rpm is the optimal speed for MD guide
Is MD Guide compatible with all brands and kinds of implants?
MD Guide is 100% compatible with all kinds and brands of implant. The purpose of MD Guide is only to create the first hole (pilot hole). Once done, you must switch for the drills of your preferred brand of implants in order to enlarge the hole to the appropriate shape (depth and diameter).
Legal notice:
The applicable conditions, prices, intended use, features and regulatory information of the devices are specified on each product page of the website wamkey.com.
Medical devices intended exclusively for dental healthcare professionals; not reimbursed by health insurance organizations under the LPP (List of Reimbursable Products and Services).
Please read the instructions for use carefully on the IFU or labeling before any use.
Detailed information
| Brand | SAEG |
| Reference | FC-GF075-095 |
| Maintenance | autoclavable 135°C/275°F |
| Medical Device | Class IIa |
| Manufacturer | SAEG (italy) |
| Material | Surgical stainless steel |






























