Per rimuovere corone in 2 minuti, senza rischi per il dente, preservando la corona per un suo eventuale riutilizzo provvisorio o permanente. Disponibile in 3 dimensioni : 1, 2, 3.Nota bene: per godere di una garanzia per questo strumento, occorre giustificare l'acquisto degli altri 2 strumenti del kit introduttivo.
Presentazione
Perché rischiare?
I metodi classici (manuali o meccanizzati) procedono tutti a strappo o a bascula. Sono caratterizzati da una grande dispersione di energia sul legamento, con effetti traumatici per il paziente. Tale dispersione energetica può condurre alla frattura del dente o alla rottura del legamento alveolo-dentario.Outdated, traditional style crown pullers exert dangerous, heavy tensile loads on the ligament, and waste much of the removal force stretching the ligament and causing unnecessary patient trauma, and regularly damage or even extract the preparation....got your lawyers number handy?

WAMkey è completamente atraumatica!
La chiave WAMkey® rimuove la corona nell'asse del moncone. Essendo libera, la corona sceglie la traiettoria che le offre meno resistenza. Le tensioni esercitate su dente e corona sono quindi ridotte al minimo.
WAMkey procede per dissociazione della corona dal proprio supporto (non per strappo o movimento di bascula). Pertanto non si verifica alcuna perdita di energia sul legamento e non si rischia di rimuovere un'eventuale ricostruzione.
La pressione esercitata dalla Chiave di rimozione sul dente di supporto aumenta molto gradualmente fino alla rimozione (senza il minimo urto).

WAMkey preserva la corona per un eventuale riutilizzo
Le parti essenziali della protesi (area cervicale, faccia occlusale, punti di contatto) sono preservate. Inoltre, in numerosi casi, si può praticare un foro sulla faccia linguale o palatina. La protesi può pertanto essere riposizionata come provvisorio o in maniera definitiva, dopo una semplice otturazione del foro. Essendo le sollecitazioni a livello dell'otturazione particolarmente deboli, qualsiasi rischio d'infiltrazione è da escludere. Di fatto la corona continua a essere perfettamente funzionante.
WAMkey è molto economica
Con i metodi tradizionali, l'intervento può risultare lungo e quindi oneroso. Grazie alle chiavi di rimozione WAMkey®, bastano in genere 2 minuti per ottenere la rimozione. Il foro praticato nella corona è molto ridotto. Evitando di tagliarla del tutto, anche le attrezzature rotanti (contrangoli, frese...) verranno risparmiate. A tali risparmi occorre aggiungere quelli realizzati grazie al ricupero immediato della corona o del ponte, come provvisorio o come apparecchio permanente.
Remove your crown before root canal treatment !
Stop doing your root canal through the crown. WAMkey allows you to remove the crown in 1 or 2 minutes and in some cases, less than a minute.
Once the crown removed, you have a easier access to the root canal, you can make an easier repair of the crown, and above all, you have an opportunity to make a far better diagnosis because you can visualize everything under the crown.
Come funziona
In un primo tempo, individuare, sulla faccia più accessibile della corona, il livello approssimativo dell'interfaccia di cemento tra la faccia occlusale del moncone e l'intradosso della corona.

In un secondo tempo, praticare una finestra ridotta nella corona.

Allargare tale finestra fino a scorgere il giunto di cemento fra la faccia occlusale del moncone e l'intradosso della corona.

Infine, dopo essersi accertato che il foro si trova al livello giusto, prolungare il foro fino al centro del dente.

Allargare poi leggermente il foro in modo da conferirgli una forma orizzontale.

Infine, dopo aver provato metodicamente i 3 strumenti (di misure diverse), imprimere un semplice movimento rotatorio sul manico dello strumento scelto per rimuovere la corona. In molti casi, il dentista avrà la sensazione di aver girato a vuoto e il paziente non si sarà reso conto di nulla.
Generalmente l'insieme di queste operazioni richiede al massimo da 1 a 3 minuti per ogni corona. Nei casi particolari della rimozione di corone su perni moncone o di corone di metallo-ceramica, occorreranno al massimo da 4 a 8 minuti.

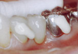
Caso clinico del Dr W. Muller - Aix en Provence (FRANCE)
per eseguire un ritrattamento del dente 36, che presenta una grave infezione. I canali sono otturati con coni d'argento; un perno a vite è presente nel canale distale. La presenza del perno a vite richiede la rimozione del ponte.
La presenza iniziale di coni d'argento deve indurre il dentista ad un certo riserbo quanto all'efficacia del trattamento da eseguire. Il posizionamento di un nuovo ponte è quindi da escludere dopo il trattamento. Anche il posizionamento di un ponte provvisorio risulta problematico per la sua fragilità a lungo termine ed i rischi di infiltrazione che comporta. Il riutilizzo del ponte sarà quindi del tutto salutare nel presente caso.
Dopo aver praticato un'incisione su ogni corona, il dentista introduce la parte operativa della prima chiave WAMkey®1 in ogni foro, per rimuovere le due corone.
Se la chiave più piccola è troppo piccola, usare la chiave media (2) o la più grande (3). Nel caso in questione, il foro viene praticato sulla faccia vestibolare, ma lo si sarebbe potuto praticare sulla faccia linguale.
Da notare che la ceramica non è stata minimamente intaccata, per via delle debolissime sollecitazioni subite, e che l'operazione è durata appena 4-5 minuti.
Una volta rimosso il ponte, il dente 36 è stato trattato. Accesso agevole e buona visibilità facilitano notevolmente l'esecuzione del trattamento.


Terminato il trattamento, il dentista riposiziona il ponte e lo cementa definitivamente. Lo scopo è di lasciare il ponte in bocca per alcuni mesi, persino alcuni anni per sincerarsi della qualità del ritrattamento endodontico. Tolto il cemento in eccesso, i fori vengono otturati con un composito (con un opacizzante e un silano).

Le debolissime sollecitazioni, nonché la buona qualità della spazzolatura della faccia vestibolare consentono di escludere ogni rischio d'infiltrazione.
All'occorrenza, il dentista potrà sincerarsene durante le visite di controllo.
La qualità cosmetica della riparazione è molto soddisfacente in attesa di rivalutare il caso. Se il trattamento si rivelerà efficace, il dentista potrà considerare, alcuni anni dopo, l'eventualità di un nuovo ponte. In caso d'insuccesso del ritrattamento endodontico, che richiederebbe forse l'estrazione del dente 36, il dentista avrà evitato di posizionare un ponte nuovo dal futuro incerto già a breve
termine.

Dove posso acquistare WAMkey?
Basta ordinare direttamente on line sul nostro sito web. La consegna degli strumenti verrà eseguita direttamente da noi o dal distributore nella tua zona. Inoltre è possibile consultare la lista dei distributori di zona.
Che vantaggio offrono le Chiavi di Rimozione rispetto agli strumenti classici che servono a distanziare i bordi di un foro verticale (dall'area cervicale alla faccia occlusale) o a forma di "T"?
Le Chiavi di Rimozione hanno il duplice vantaggio di essere economiche in termini di tempo di taglio (e quindi di frese) e di non alterare l'area cervicale delle corone. Si possono così ricuperare le corone per un'eventuale riposizionamento immediato, provvisorio o permanente. Peraltro, le Chiavi di Rimozione sono nettamente meno traumatiche, in quanto evitano tutte le tensioni laterali sui pilastri adiacenti che possono essere generate dal divaricamento dei bordi di un foro verticale. Si tratta di un lavoro in dolcezza, in cui la forza non è necessaria.
Ma per utilizzare le Chiavi di Rimozione, occorre forare la corona. Non è quindi più possibile riutilizzarla?
Sì. Ma innanzitutto i vantaggi delle Chiavi di Rimozione sono i seguenti:
1. il risparmio di tempo, grazie alla rapidità della rimozione
2. la preservazione sistematica dei pilastri di supporto
3. il risparmio di tempo dovuto alla possibilità di riutilizzare la protesi come provvisorio
Per quanto riguarda un riutilizzo a più lungo termine, è da notare che numerosi dentisti utilizzano già il nostro dispositivo e riutilizzano corone in maniera permanente. Il loro successo si spiega molto semplicemente: dopo riparazione, le funzioni della protesi sono garantite:
- l'occlusione
- contatto con i denti adiacenti
- tenuta
- cosmetica
Le parti fondamentali non vengono toccate, ossia i punti di contatto, l'area cervicale e la faccia occlusale. Il più delle volte basterà una semplice riparazione che potrà essere effettuata molto spesso direttamente in bocca dopo la rimozione (a seconda dei casi andranno benissimo composito o amalgama). Per quanto riguarda il giudizio sul risultato cosmetico della riparazione, questo spetta al paziente, così come sarà il paziente a scegliere una protesi metallica piuttosto che una protesi in metallo-ceramica.
Le chiavi WAMkey® possono essere utilizzate su corone in metallo-ceramica?
Certamente. Grazie alle debolissime sollecitazioni generate dalle Chiavi di Rimozione, nel 70-80% la ceramica potrà essere recuperata senza che questa sia stata minimamente scheggiata. Di fatto, il successo dell'operazione risiede fondamentalmente sul rispetto del protocollo che viene consegnato insieme agli strumenti e sulla pratica che si acquisisce già dopo aver utilizzato lo strumento qualche volta soltanto.
Ecco alcuni consigli utili https://www.youtube.com/watch?v=7r4OAqOIaH4
Le Chiavi di Rimozione WAMkey® sono coperte da garanzia?
Sì. Il rispetto del loro protocollo d'utilizzo costituisce una prima garanzia per gli strumenti. In effetti, se viene rispettato, la forza necessaria per la rimozione delle corone sarà talmente debole, che non si correrà alcun rischio di danneggiare gli strumenti, i quali saranno pertanto coperti da garanzia come qualsiasi altro prodotto, purché utilizzati conformemente al protocollo di utilizzo.
Perché occorre avere 3 Chiavi di Rimozione?
Come mostrato negli schemi accanto, lo strumento più piccolo consente di ottenere la coppia di forze più vicina all'asse del dente. Tale strumento genera quindi meno sollecitazioni sul dente
e sulla protesi (nello schema 2 le forze agiscono praticamente sull'asse
mentre nello schema 1 le forze, lontane dall'asse, creano un
movimento di bascula). Lo strumento consente così di ottenere la rimozione nelle migliori condizioni possibili (preservazione della preparazione, preservazione della protesi, e benessere del paziente). Il protocollo prevede quindi che lo si utilizzi preferibilmente e consente la rimozione in circa il 50% dei casi. Negli altri casi, (corona molto aderente o molto ritentiva, intarsi, cavità troppo grande, solco molto grande a
livello della tavola occlusale, giunto di cemento molto spesso che fa sì che lo strumento giri a vuoto) l'utilizzo degli strumenti di dimensioni superiori diventa naturalmente necessario. Di fatto, all'inizio si era pensato di produrre uno strumento con 3 attacchi intercambiabili. Ma un sondaggio
realizzato presso dentisti campione ha rivelato che la stragrande maggioranza preferiva lavorare con un manico per ogni attacco. E' comunque possibile acquistare strumenti singoli come ricariche.
Does WAMkey work with all kind of cements and resin cements?
As most dental devices, WAMkey can't guarantee a 100% success. But practionners using the WAMkey usually report an over 90% success rate. In 2012, an evaluation conducted by Dental Advisor in USA resulted in a 92% success rate over 320 crowns. And for sure, some of the 92% crowns removed with WAMkey were bonded and not cemented.
WAMkey applys a couple of forces at the right spot (between the 2 elements we want to separate) in the right direction (along the axis of the prep). So we can assert that if you fail in removing a crown with WAMkey, there's absolutely no chance to remove it without destroying it completely.
Does WAMkey work on Zirconia crowns?
1/ WAMkey is presently the only device on the market that applies the energy in the right place (in the middle of the occlusal side of the preparation, between the preparation and the framework) and in the right direction (along the grand axis of the preparation). So if WAMkey doesn't allow you to remove a crown, no other device will allow you to succeed without destroying the crown. So WAMkey is presently you best chance to succeed.
2/ Zirconia raises 2 essential difficulties:
-Drilling in Zirconia is harder than in most other material used for crowns. But specific burs allow now to achieve this in better conditions than conventional diamond burs. We offer you to try Zircator that is perfectly adapted to the process of WAMkey:
http://www.wamkey.com/FR/produit/253-/.
With Zircator, you should be able to create the appropriate tunnel between the preparation and the framework, which gives you a big chance to succeed.
- Some cements and bonding devices are more resistant than others, which can complicate your task. This doesn't mean that it will make it impossible. Many practitioners mention that they succeeded in removing Zirconia crowns. Haven't you ever faced a patient who had his crown loosened on its own while bonded with a highly resistant resin cement?
3/ Several serious studies reveal that all in all, WAMKey is successful in approximately 90%, provided that it's used in good indications (not on the lower anterior teeth, and preferably on premolars and molars).
In conclusion, it is really worth trying. The success rate is probably lower on Zirconia crowns than metal crowns, but far from zero. And each time it will work, you'll save your time, your burs, you'll preserve your handpiece and you'll be able to reuse the crown as a temporary or as a permanent.
Is there any risk to use WAMkey on vital teeth?
This objection is legitimate.
This question concerns young patients rather than old ones, because the older the patient is, the smaller and the lower the pulp is.
In most cases, Don't forget that:
- before creating the tunnel, you will have to enlarge the window into the crown until you can see the cement level
- Once you can see the cement, and only once you can see it, you create the tunnel.
- When drilling the tunnel, you use the crown as a guide (much harder than the dentine), so there is insignificant chance to drill into the pulp.
There is however one important recommendation (see advices into the instruction CDrom). Add some water with the syringe in order to cool the bur when creating the tunnel, because the spray of the hand-piece will not be able to enter into the tunnel.

“Un prodotto davvero strabiliante!...”
Dr Jerry WATSON - STANFORD (ENGLAND)
“Prodotto fantastico!
Risultati sicuri. Non ho più avuto il benché minimo problema a rimuovere le corone in maniera pulita da quando ho la WAMkey! ”
Dr ODEYEMI - LONDRES (ENGLAND)
“WAMkey, che delusione! Mi ero preparato a "divertirmi" per rimuovere un vecchio
ponte... e non ho fatto in tempo, perché il "coso" lo ha tolto comme se fosse un ponte provvisorio. Sigh. Il Coso lavora più veloce della luce.
Persino il paziente ha notato "perbacco, si reggeva con lo sputo! Era proprio ora di cambiarlo...."
Dr Rafaël SOBIESKI - Heyrieux (FRANCE)
“Sono 3 anni che utilizzo la WAMkey. Si tratta di uno dei migliori acquisti di tutta la mia carriera. Ho provato molti altri strumenti e tecniche, ma si sono tutti rivelati meno efficaci e più laboriosi. La cosa più importante per me è che la sollecitazione sul dente è ridotta al minimo. Raccomando quindi la WAMKey a tutti i dentisti. PS: ho appena ordinato la pinza WAM'X per rimuovere i perni e mi aspetto un altro strumento straordinario che mi aiuterà nella pratica quotidiana”
Dr Roger ZEMP - Freibourg (SWITZERLAND)

Dr Maria MOORE - Virginia Water (ENGLAND)
"Ausgezeichnetes Produkt. Einfach zu handhaben. Zuverlässig. Ich bin sehr zufrieden mit dem Kauf dieses Produktes.Mit freundlichen Grüssen"
Dr L. Sigrist - Ostermundigen (SWITZERLAND)
"Finalmente ho provato la WAMkey! Il paziente, 75enne, aveva un ponte in metallo-ceramica dal 14 al 25 con pilastri sul 13, 23, 24 e 25. All'inizio il ponte poggiava sui denti 14 e 15. A causa di una carie, un anno fa si è dovuto procedere all'estrazione del dente 14. All'epoca ho rifatto un ponte sui denti 14 e 15. Alcune settimane fa, la corona sul 13 è saltata via. La situazione era molto problematica per me poiché il paziente non intendeva farsi rifare un ponte o applicare impianti. Ho quindi provato la WAMkey per estrarre un dente con corona (una normale corona d'oro) e l'operazione si è svolta perfettamente. Ho intuito facilmente che quel caso sarebbe stato molto più difficile a causa in particolare della presenza di 3 pilastri adiacenti. La rimozione è avvenuta senza il minimo problema dal 23 al 25. Ho ricementato il ponte e colmato le finestre con del composito. Trovo il risultato ottenuto particolarmente buono, risultato che non si sarebbe potuto conseguire con alcun altro metodo operativo. Grazie quindi per questi 3 strumenti straordinari. D'ora in poi, li raccomanderò a tutti i miei colleghi"
Dr Thomas Alver (Nora - SVEZIA)
"Sono sempre altrettanto sorpreso dalla velocità con la quale si svolge l'operazione e dal fatto che il paziente non senta assolutamente nulla... più uso le mie chiavi WAMkey, meno posso farne a meno."
Dr Robert ESKENAZI - Marseille (FRANCE)
"E' vero che è quasi deludente, tanto funziona in fretta quando l'indicazione è giusta. Esempio: corone 45, 46 solidali su inlay-core; ci sono voluti 5 minuti d'orologio, il mio paziente non voleva crederci e io neppure.”
Dr Thierry Couturier - Reims (FRANCE)

Dr Fernando DURÁN SINDREU - Universidad Internacional de Cataluna (SPAIN)
NUESTRA VALORACIÓN DEL SISTEMA
La valoración del sistema es muy favorable. De modo rápido podemos levantar coronas que de otro modo supondrían un auténtico desafío. Al empezar a utilizarlo pensábamos que sería difícil encontrar la vía de paso adecuada. La realidad nos mostró por el contrario que era muy fácil de utilizar.
Los principales inconvenientes que observamos es que en coronas de metal noble, si al fresar dejamos una capa de metal en oclusal muy fina, podemos provocar una deformación del mismo al girar la llave WAM, lo que puede provocar la fractura de la porcelana.
En anteriores su uso también nos ha parecido como más difícil, por lo que lo recomendamos para levantar coronas y puentes de premolar (podríamos incluir los colmillos, dependiendo del caso), hacia atrás.
Las coronas pueden ser reutilizadas si así se desea de forma muy sencilla, especialmente como coronas provisionales, pero también en algunos casos para cementado definitivo. Para ello obturaremos con composite la cavidad de acceso lateral, que en todo caso queda menos expuesta que la cavidad oclusal que veníamos realizando en muchos casos.
Alvarado C, Irigoyen J, Roig M.
“Si può fare a meno delle chiavi WAMkey®, ma le WAMkey® lavorano bene e soprattutto fanno risparmiare molto tempo. Ecco perché l'investimento è redditizio!"
Dr Fredéric SACCENTI (La Loupe, FRANCE)

Dr Assayag (FRANCE)
Legal notice:
The applicable conditions, prices, intended use, features and regulatory information of the devices are specified on each product page of the website wamkey.com.
Medical devices intended exclusively for dental healthcare professionals; not reimbursed by health insurance organizations under the LPP (List of Reimbursable Products and Services).
Please read the instructions for use carefully on the IFU or labeling before any use.
Informazioni dettagliate
| Marca | WAM |
| Riferimento | WK1 |
| manutenzione | autoclavabile 135°C/275°F |
| Dispositivo medico | Class I |
| Déclaration de conformité | CE |
| Materiale | Acciaio inossidabile chirurgico |































