Kronenentfernung in 2 Minuten, ohne Gefahr für den Zahn, Erhaltung der Krone für eine eventuelle provisorische oder langfristige Wiederverwendung. In 3 größen erhältlich : 1, 2 und 3.Hinweis : Garantie auf das Instrument nur bei vorherigem Kauf der beiden anderen Instrumente des Einführungssets
Präsentation
Gehen Sie kein Risiko mehr ein
Herkömmliche (manuelle und mechanische) Methoden arbeiten mit Abzieh- oder Wippbewegungen. Sie verursachen einen hohen Energieabgang in die Ligamente und sind traumatisierend für den Patienten. Der Energieverlust kann die Fraktur des Zahns oder den Riss des parodontalen Ligaments nach sich ziehen.Outdated, traditional style crown pullers exert dangerous, heavy tensile loads on the ligament, and waste much of the removal force stretching the ligament and causing unnecessary patient trauma, and regularly damage or even extract the preparation....got your lawyers number handy?

WAMkey ist völlig atraumatisch
Mit dem Kronenentferner WAMkey wird der Zahnersatz in Achsrichtung des Stumpfes entfernt. Da die Krone sich frei bewegen kann, wählt sie den Weg des geringsten Widerstands. Der Druck auf den Zahn und die Krone sind auf ein Minimum reduziert.
WAMkey löst die Krone von ihrem Träger (ohne Abzieh- oder Wippbewegungen). Es gibt keinen Energieabgang an die Ligamente, ein eventueller Stumpfaufbau wird nicht gelockert.
Der Druck des Kronenabnahmeschlüssels auf den Zahn steigt progressiv bis zum Ablösen der Krone an (es gibt keine Stöße).

WAMkey erhält die Krone für eine eventuelle Wiederverwendung
Die wesentlichen Teile des Zahnersatzes (Kronenrand, Okklusalfläche und Kontaktpunkte) bleiben erhalten. Außerdem kann in vielen Fällen der Einschnitt lingual oder palatinal vorgenommen werden. Daher kann der Zahnersatz nach einfachem Verschließen des Einschnitts provisorisch oder langfristig wiedereingesetzt werden. Die Belastungen an der Verschlussstelle sind sehr gering, sodass Infiltrationsgefahren ausgeschlossen sind. Die Krone ist weiterhin funktionstüchtig.
WAMkey ist sehr wirtschaftlich
Mit herkömmlichen Methoden kann der Eingriff langwierig und entsprechend kostspielig sein. Mit dem Kronenentferner WAMkey(R) dauert die Entfernung des Zahnersatzes im Allgemeinen 2 Minuten. Der Einschnitt in die Krone ist gering. Da die Krone nicht ganz aufgeschnitten wird, werden rotierende Instrumente geschont (Winkelstücke, Fräser). Hinzu kommen weitere Einsparungen, da die Krone oder Brücke provisorisch oder langfristig wiederverwendet werden kann.
Remove your crown before root canal treatment !
Stop doing your root canal through the crown. WAMkey allows you to remove the crown in 1 or 2 minutes and in some cases, less than a minute.
Once the crown removed, you have a easier access to the root canal, you can make an easier repair of the crown, and above all, you have an opportunity to make a far better diagnosis because you can visualize everything under the crown.
SO FUNKTIONIERT'S
Schätzen Sie zunächst an der zugänglichsten Seite der Krone die ungefähre Lage der Zementschicht zwischen der Okklusalfläche des Stumpfs und der Unterseite der Krone ein.

Schneiden Sie dann ein kleines Fenster in die Krone.

Erweitern Sie das Fenster, bis die Zementschicht zwischen der Okklusalfläche des Stumpfs und der Unterseite der Krone zu sehen ist.

Nachdem Sie sich vergewissert haben, dass der Einschnitt auf der richtigen Höhe liegt, wird er bis zur Mitte des Zahns vertieft.

Verbreitern Sie dann den Einschnitt horizontal auf den Seiten.

Nachdem dann die 3 verschieden großen Instrumente methodisch ausprobiert wurden, drehen Sie den Griff des passendes Instruments leicht um sich selbst, um die Krone zu lösen. In vielen Fällen werden Sie das Gefühl haben, im Leeren zu drehen; der Patient spürt dabei nichts.
Üblicherweise geht man bei der Durchführung dieser Arbeitsschritte von 1 bis 3 Minuten für jede Krone aus. Bei Kronen auf Metallstumpfaufbauten oder VMK-Kronen ist mit höchstens 4 bis 8 Minuten pro Krone zu rechnen.

Clinical case - Dr W. Muller - Aix en Provence (FRANCE)
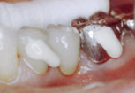
Diese Brücke (34 - 36) ist zehn Jahre alt und muss wegen der Behandlung einer Infektion von 36 entfernt werden. Die Kanäle wurden mit Silberkegeln verschlossen. Im Distalkanal ist eine Schraube vorhanden, weswegen die Brücke entfernt werden muss.
Die ursprünglich vorhandenen Silberkegel veranlassen den Zahnarzt zu einem gewissen Vorbehalt hinsichtlich der Eiffizienz der geplanten Behandlung.
Es ist also ausgeschlossen, nach der Behandlung eine neue Brücke einzusetzen. Auch eine provisorische Brücke ist wegen der langfristigen Zerbrechlichkeit und der Infiltrationsrisiken problematisch. Im vorliegenden Fall wäre also die Wiederverwendung der Brücke durchaus willkommen.
Nachdem der Zahnarzt an jedem Brückenglied einen Einschnitt vorgenommen hat, führt er den Arbeitsteil des ersten Kronenentferners WAMkeys(R) 1 nacheinander in jedes Brückenglied ein, um beide zu lösen. Wenn der kleinste Schlüssel zu klein ist, benutzt er den mittelgroßen (Nr. 2) oder den größten Schlüssel (Nr. 3). Im vorliegenden Fall wird der Einschnitt vestibulär vorgenommen, wäre aber auch lingual möglich. Zu bemerken ist, dass die Keramik aufgrund der geringen Belastung in keiner Weise zersplittert wurde und die Entfernung der Brücke nur 4 bis 5 Minuten gedauert hat.
Nach dem Ausbau der Brücke kann 36 behandelt werden. Der leichte Zugang und die gute Sicht erleichtern die Behandlung erheblich.


Nach der Behandlung setzt der Zahnarzt die Brücke mit einer dauerhaften Zementierung wieder ein. Die Brücke soll einige Monate oder Jahre im Mund verbleiben, um sicher zu gehen, dass die Endodontiebehandlung effizient war. Nachdem der Zementüberschuss entfernt wurde, werden die Einschnitte mit Composite (mit einem Opaker und Silan) verschlossen

Durch die geringen Belastungen und ein sorgfältiges Polieren an der vestibulären Seite werden Infiltrationsgefahren ausgeschlossen. Bei Bedarf kann der Zahnarzt bei Kontrolluntersuchungen nachprüfen. Die kosmetische Qualität der Reparatur ist in Erwartung einer Neubeurteilung des Falls zufriedenstellend. Wenn die Behandlung effizient war, kann der Zahnarzt nach einigen Jahren eine neue Brücke vorsehen. Falls die Endodontiebehandlung keinen Erfolg hat und Zahn 36 vielleicht extrahiert werden muss, hat der Zahnarzt keine neue Brücke eingesetzt, deren Zukunft ungewiss war.

Wo kann ich WAMkey kaufen?
Sie können Ihre Bestellung auf unserer Website direkt online aufgeben. Sie bekommen Ihre Instrumente direkt geliefert oder über unseren Händler in Ihrer Region. Sehen Sie sich auchg die Liste unserer Händler in Ihrer Region an.
Welche Vorteile hat der Kronenabnahmeschlüssel im Vergleich zu herkömmlichen Instrumenten, mit denen die Ränder einer vertikalen Öffnung (vom zervikalen Rand bis zur Okklusalfläche) gedehnt werden oder die Krone in T-Form geöffnet wird?
Die Kronenentferner haben einen doppelten Vorteil: Sie sind beim Bohren zeitsparend (also weniger Bohrerverschleiss) und verändern nicht den zervikalen Kronenrand. Sie können also die Kronen eventuell sofort als Provisorium oder definitiv wiederverwenden.Im Übrigen sind die Abnahmeschlüssel weitaus weniger traumatisierend, da auf die anliegenden Pfeiler seitlich kein Druck ausgeübt wird, der durch die Spreizung einer vertikalen Öffnung entstehen kann. Die Arbeit wird mit sanft und nicht mit Kraft durchgeführt;
Wenn ich den Abnahmeschlüssel verwende, muss ich ein Loch in die Krone bohren. Ich kann sie also nicht mehr wiederverwenden?
Doch. Der Kronenabnahmeschlüssel hat aber vor allem folgende Vorteile:
1. Zeitgewinn durch schnelle Entfernung
2. Systematische Erhaltung der Stützpfeiler
3. Zeitgewinn durch die provisorische Wiederverwendung des Zahnersatzes
Hinsichtlich einer langfristigen Wiederverwendung ist zu bemerken, dass viel Zahnärzte bereits unser Gerät benutzen und die Krone dauerhaft wiederverwenden. Der Erfolg ist schnell erklärt: der reparierte Zahnersatz erfüllt weiterhin alle wesentlichen Funktionen:
- Okklusion
- Kontakt mit den benachbarten Zähnen
- Dichtigkeit
- Ästhetik
Wesentliche Teile wie Kontaktpunkte, Kronenrand und Okklusalfläche werden nicht beeinträchtigt. In den meisten Fällen genügt eine einfache Reparatur, die zumeist direkt nach dem Ausbau erfolgen kann (je nach Fall mit Composite oder Amalgam). Der Patient entscheidet über das kosmetische Reparaturergebnis, wie er sich auch für eine Metall- oder VMK-Krone entscheidet.
Kann ich WAMKey (R) bei VMK-Kronen verwenden?
Natürlich. Die Kronenabnahmeschlüssel verursachen nur eine geringe Spannung und in 70 bis 80% der Fälle können Sie Keramikkronen ohne Zersplitterung erhalten. Die Erfolgschancen hängen hauptsächlich von der Einhaltung des Gebrauchsprotokolls ab, das Sie mit den Instrumenten bekommen, und von einem kleinen Handgriff, den Sie nach ein paar Einsätzen schnell beherrschen.
Here are some usefull advices in Shakespeare's language: https://www.youtube.com/watch?v=7r4OAqOIaH4
Gibt es auf WAMkey Garantie?
Ja. Für Ihre Instrumente ist die Einhaltung des Genrauchsprotokolls ein erste Garantie. Wenn Sie das Protokoll einhalten, ist die zum Entfernen des Zahnersatzes notwendige Kraft so gering, dass eine Beschädigung der Instrumente praktisch ausgeschlossen ist. Im Übrigen gilt für die Instrumente die allgemein übliche Garantie, sofern sie sachgemäß nach dem Gebrauchsprotokoll eingesetzt werden.
Warum braucht man 3 Kronenabnahmeschlüssel?
Die nebenstehenden Bilder zeigen, dass mit dem kleinsten Instrument ein Kraftmoment erzielt wird, das nah an der Achsrichtung des Zahns liegt. Das Instrument übt also am wenigsten Spannung auf den Zahn und den Zahnersatz aus (auf Bild 2 befinden sich die Kräfte quasi in Achsrichtung, auf Bild 1 sind die Kräfte weit von der Achse entfernt und verursachen eine Kippbewegung).
Man kann also unter den bestmöglichen Bedingungen den Zahnersatz entfernen (Erhaltung der Präparation und des Zahnersatzes, Komfort für den Patienten). Das Protokoll schreibt demnach seine Verwendung prioritär vor, da in 50% der Fälle mit diesem Instrument der Zahnersatz entfernt werden kann.
In den anderen Fällen (sehr eng oder fest sitzende Krone, Metallstiftaufbau, zu große Kavität, große Furche an der Okklusalfläche, dicke Zementschicht, sodass der Schlüssel leer dreht...) bietet sich automatisch die Verwendung größerer Instrumente an. Ursprünglich sollte ein Instrument mit 3 austauschbaren Aufsätzen angeboten werden, aber eine Umfrage bei "Test"-Zahnärzten hat gezeigt, dass sie mehrheitlich lieber mit je einem Griff pro Spitze arbeiten. Einzelne Instrumente können jederzeit nachgekauft werden
Does WAMkey work with all kind of cements and resin cements?
As most dental devices, WAMkey can't guarantee a 100% success. But practionners using the WAMkey usually report an over 90% success rate. In 2012, an evaluation conducted by Dental Advisor in USA resulted in a 92% success rate over 320 crowns. And for sure, some of the 92% crowns removed with WAMkey were bonded and not cemented.
WAMkey applys a couple of forces at the right spot (between the 2 elements we want to separate) in the right direction (along the axis of the prep). So we can assert that if you fail in removing a crown with WAMkey, there's absolutely no chance to remove it without destroying it completely.
Does WAMkey work on Zirconia crowns?
1/ WAMkey is presently the only device on the market that applies the energy in the right place (in the middle of the occlusal side of the preparation, between the preparation and the framework) and in the right direction (along the grand axis of the preparation). So if WAMkey doesn't allow you to remove a crown, no other device will allow you to succeed without destroying the crown. So WAMkey is presently you best chance to succeed.
2/ Zirconia raises 2 essential difficulties:
-Drilling in Zirconia is harder than in most other material used for crowns. But specific burs allow now to achieve this in better conditions than conventional diamond burs. We offer you to try Zircator that is perfectly adapted to the process of WAMkey:
http://www.wamkey.com/FR/produit/253-/.
With Zircator, you should be able to create the appropriate tunnel between the preparation and the framework, which gives you a big chance to succeed.
- Some cements and bonding devices are more resistant than others, which can complicate your task. This doesn't mean that it will make it impossible. Many practitioners mention that they succeeded in removing Zirconia crowns. Haven't you ever faced a patient who had his crown loosened on its own while bonded with a highly resistant resin cement?
3/ Several serious studies reveal that all in all, WAMKey is successful in approximately 90%, provided that it's used in good indications (not on the lower anterior teeth, and preferably on premolars and molars).
In conclusion, it is really worth trying. The success rate is probably lower on Zirconia crowns than metal crowns, but far from zero. And each time it will work, you'll save your time, your burs, you'll preserve your handpiece and you'll be able to reuse the crown as a temporary or as a permanent.
Is there any risk to use WAMkey on vital teeth?
This objection is legitimate.
This question concerns young patients rather than old ones, because the older the patient is, the smaller and the lower the pulp is.
In most cases, Don't forget that:
- before creating the tunnel, you will have to enlarge the window into the crown until you can see the cement level
- Once you can see the cement, and only once you can see it, you create the tunnel.
- When drilling the tunnel, you use the crown as a guide (much harder than the dentine), so there is insignificant chance to drill into the pulp.
There is however one important recommendation (see advices into the instruction CDrom). Add some water with the syringe in order to cool the bur when creating the tunnel, because the spray of the hand-piece will not be able to enter into the tunnel.

“Ein absolut brillantes Produkt! Es hat mir das Lenben gerettet!”
Dr Jerry WATSON - STANFORD (ENGLAND)
“Fantastisches Produkt! Voraussehbare Ergebnisse. Ich habe nicht mehr die geringsten Schwierigkeiten, Kronen sauber abzunehmen, seit ich mit WAMkey arbeite!”
Dr ODEYEMI - LONDRES (ENGLAND)
“Ich bin von WAMkey enttäuscht! Ich hatte mich schon auf den Spaß bei der Entfernungen einer alten Brücke gefreut... und hatte keine Zeit, denn das Dings hat gewirkt, als handele es sich um eine provisorische Brücke! Snif. Das Dings ist schneller als erlaubt. Sogar der Patient hat es bemerkt: "Die hat ja gar nicht gehalten! War Zeit, sie herauszunehmen..."
Dr Rafaël SOBIESKI - Heyrieux (FRANCE)
“Ich benutze WAMkey® seit mittlerweile 3 Jahren. Das ist einer der besten Käufe, die ich in meiner Laufbahn je getätigt habe. Ich habe viele andere Instrumente und Techniken ausprobiert, sie sind aber lange nicht so effizient und zeitsparend. Das Wichtigste ist für mich dabei, dass der Zahn kaum belastet wird. Ich kann WAMkey allen Zahnärzten nur empfehlen. P.S.: Ich habe die WAM'X- Stiftentfernerzange bestellt und werde sicherlich ein weiteres, großartiges Instrument haben, das mir bei meiner täglichen Arbeit hilft.”
Dr Roger ZEMP - Freibourg (SWITZERLAND)

Dr Maria MOORE - Virginia Water (ENGLAND)
"Ausgezeichnetes Produkt. Einfach zu handhaben. Zuverlässig. Ich bin sehr zufrieden mit dem Kauf dieses Produktes.Mit freundlichen Grüssen"
Dr L. Sigrist - Ostermundigen (SWITZERLAND)

Dr Sabine Kusche - Warburg (GERMANY)
"So, ich habe jetzt endlich WAMkey ausprobiert! Der Patient, ein 75-jähriger Mann hatte eine Metallkeramik-Brücke von 14 bis 25 mit Pfeilern auf 13, 23, 24 und 25. Zu Beginn stützte sich die Brücke auf 14 und 15, aber aufgrund einer Karies musste 14 vor einem Jahr extrahiert werden. Damals hatte ich eine Brücke auf 14 und 15 angefertigt. Vor ein paar Wochen, hat sich die Brücke auf 13 gelockert. Die Situation war für mich sehr problematisch, denn der Patient konnte sich keine neue Brücke oder Implantate leisten.
Zuerst habe ich WAMkey auf einer extrahierten Krone (einer normalen Goldkrone) ausprobiert und das verlief ganz tadellos. Mir war klar, dass es in diesem realen Fall weitaus schwieriger sein würde, vor allem, da es ja drei angrenzende Pfeiler gab. Die Entfernung von 23 bis 25 verlief absolut problemlos. Jetzt ist die Brücke wieder fest und ich habe die Fenster mit Komposit geschlossen.
Ich finde das Ergebnis ausgesprochen interessant. Mit keiner anderen Methode hätte ich ein solches Ergebnis erreicht.
Also vielen Dank für diese drei genialen Instrumente. Ich werde sie allen meinen Kollegen auf jeden Fall aufs Wärmste weiterempfehlen."
Dr Thomas Alvner - Nora ( SCHWEDEN)
"Es ist schon fast enttäuschend, wie schnell es geht, wenn die richtige Indikation gegeben ist. Beispiel: Kronen 45, 46 auf Metallstumpfaufbau zementiert. Mit der Uhr in der Hand 5 Minuten. Mein Patient konnte es kaum fassen, und ich auch nicht”
Dr Thierry Couturier - Reims (FRANCE)

Dr Fernando DURÁN SINDREU - Universidad Internacional de Cataluna (SPAIN)
NUESTRA VALORACIÓN DEL SISTEMA
La valoración del sistema es muy favorable. De modo rápido podemos levantar coronas que de otro modo supondrían un auténtico desafío. Al empezar a utilizarlo pensábamos que sería difícil encontrar la vía de paso adecuada. La realidad nos mostró por el contrario que era muy fácil de utilizar.
Los principales inconvenientes que observamos es que en coronas de metal noble, si al fresar dejamos una capa de metal en oclusal muy fina, podemos provocar una deformación del mismo al girar la llave WAM, lo que puede provocar la fractura de la porcelana.
En anteriores su uso también nos ha parecido como más difícil, por lo que lo recomendamos para levantar coronas y puentes de premolar (podríamos incluir los colmillos, dependiendo del caso), hacia atrás.
Las coronas pueden ser reutilizadas si así se desea de forma muy sencilla, especialmente como coronas provisionales, pero también en algunos casos para cementado definitivo. Para ello obturaremos con composite la cavidad de acceso lateral, que en todo caso queda menos expuesta que la cavidad oclusal que veníamos realizando en muchos casos.
Alvarado C, Irigoyen J, Roig M.
“Man kann auch ohne WAMkey(R) zurechtkommen, aber WAMkey(R) funktioniert gut und man spart jede Menge Zeit, die Investition rentiert sich also!"
Dr Fredéric SACCENTI (La Loupe, FRANCE)

Dr Assayag (FRANCE)
Legal notice:
The applicable conditions, prices, intended use, features and regulatory information of the devices are specified on each product page of the website wamkey.com.
Medical devices intended exclusively for dental healthcare professionals; not reimbursed by health insurance organizations under the LPP (List of Reimbursable Products and Services).
Please read the instructions for use carefully on the IFU or labeling before any use.
Ausführliche Informationen
| Marke | WAM |
| Artikel-Nr. | WK1 |
| Wartung | autoklavierbar 135°C/275°F |
| Medizinisches Gerät | Class I |
| Déclaration de conformité | CE |
| Material | Chirurgischer Edelstahl |





























