FANTA - Rotary Sequence

24,00 €
Tasse incluse
A031500021000

The sequence of files designed for most complex cases ! 

QUANTITATIVE DISCOUNTS

-5% from 15 blisters with code LIMES05
-10% from 20 blisters with code LIMES10
-15% from 40 blisters with code LIMES15
-20% from 100 blisters with code LIMES20

Possible mix with all the files from FANTA (except kits Découverte and hand files), UDG and VALDENTAL brands. 

  • FANTA - Rotary Sequence
  • FANTA - Rotary Sequence
  • FANTA - Rotary Sequence
  • FANTA - Rotary Sequence
  • FANTA - Rotary Sequence
  • FANTA - Rotary Sequence

Quantità:

Sintesi

  • FANTA - Rotary Sequence
  • FANTA - Rotary Sequence
  • FANTA - Rotary Sequence
  • FANTA - Rotary Sequence
  • FANTA - Rotary Sequence
  • FANTA - Rotary Sequence
    FANTA - Rotary Sequence

    The sequence of files designed for most complex cases ! 

    5 assorted ultra flexible files compatible with almost all motors available in the market.

    Contains :

    • 1 OPEN FILE #17/08
    • 1 C-PATH FILE #19/02
    • 1 ROTARY FILE #20/04
    • 1 ROTARY FILE #25/04
    • 1 ROTARY FILE #30/04

    Presentazione

    Ultra flessibilità e resistenza combinate per i vostri canali più complessi

    La sequenza dedicata ai vostri canali più complessi!

    Scoprite una sequenza progressiva per un lavoro preciso e delicato

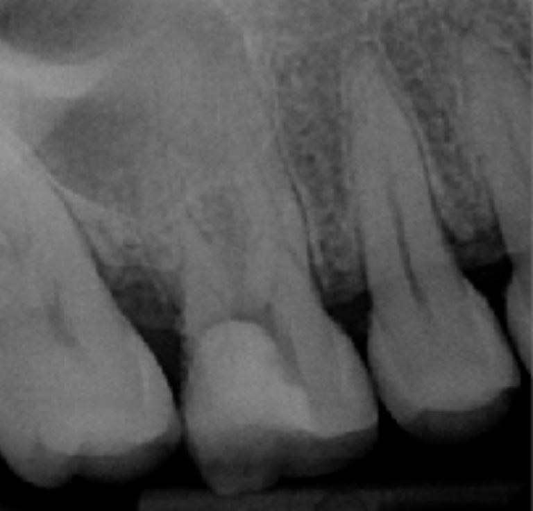
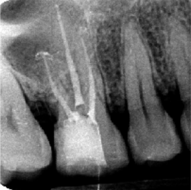
    Caso clinico n. 1

    Dr. Hetzel Rémy - Bourgoin Jallieu
    "Trattamento di premolare con radice corta"

    Anamnesi
    - Dente aperto in pronto soccorso - ambiente ospedaliero
    - Lima manuale K20 passata molto facilmente oltre l'apice
    - Sospetto di diametro apicale non rispettato
    - Prima radiografia con lima manuale K25

    Radiografia intraoperatoria
    - Passaggio di serie sequenziali di lime manuali
    - Lunghezza di lavoro determinata con lima K20
    - Lunghezza di lavoro fissata a 17,5 mm
    - Lima apicale maestra di 30/100
    - Sagomatura con la sequenza Fanta ROTARY fino alla lima 30/04%

    Radiografia postoperatoria
    - Otturazione con guttaperca e cemento all'ossido di zinco-eugenolo
    - Termocompattazione
    - Restauro in composito a 2 superfici occluso-distale

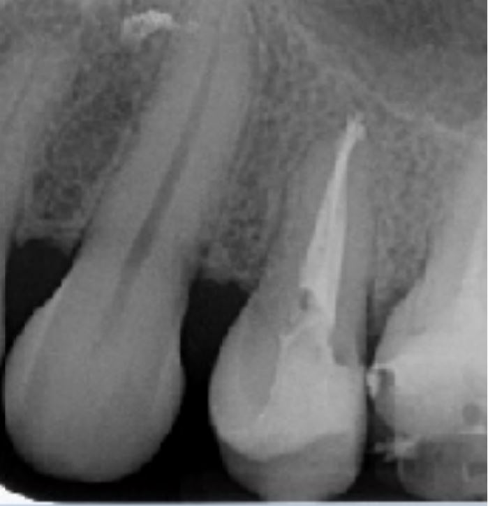
    Caso clinico n. 2

    Dr. Hetzel Rémy - Bourgoin Jallieu
    "Trattamento iniziale del dente 16"

    Radiografia preoperatoria
    - Primo molare 16 che presenta un'immagine radiotrasparente in corrispondenza delle radici mesiali e palatine
    - Test di vitalità negativo
    - Medicazione in sede, dente aperto in pronto soccorso in ambiente ospedaliero

    Sequenza operatoria
    - Lunghezza di lavoro determinata con lima manuale K10
    - Sistema canalare sagomato con la sequenza FANTA ROTARY fino all'ultima lima 30/04%
    - Lima apicale maestra di 30/100
    - Otturazione con guttaperca e cemento all'ossido di zinco-eugenolo
    - Termocompattazione

    Parametri massimi raccomandati dal produttore - da non superare.

    ModelloCoppia in N cmVelocità in giri/minRotazione oraria CWRotazione antioraria CCWProgramma Motopex consigliato
    F-ONE2.650015030CW o ATR o SGP
    BLUE S-ONE2.640015030CW o ATR o SGP
    ROTARY2350150CW o ATR
    S4 ROTARY2 a 2,5350150CW o ATR
    RETREATMENT3400150CW o ATR
    C-PATH1.8300150CW o ATR

    Legal notice:
    The applicable conditions, prices, intended use, features and regulatory information of the devices are specified on each product page of the website wamkey.com.
    Medical devices intended exclusively for dental healthcare professionals; not reimbursed by health insurance organizations under the LPP (List of Reimbursable Products and Services).
    Please read the instructions for use carefully on the IFU or labeling before any use.

    Informazioni dettagliate

    MarcaFanta
    RiferimentoA031500021000
    manutenzioneautoclavabile 135°C/275°F
    Dispositivo medicoClass IIa
    Organismo Notificato